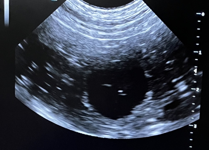
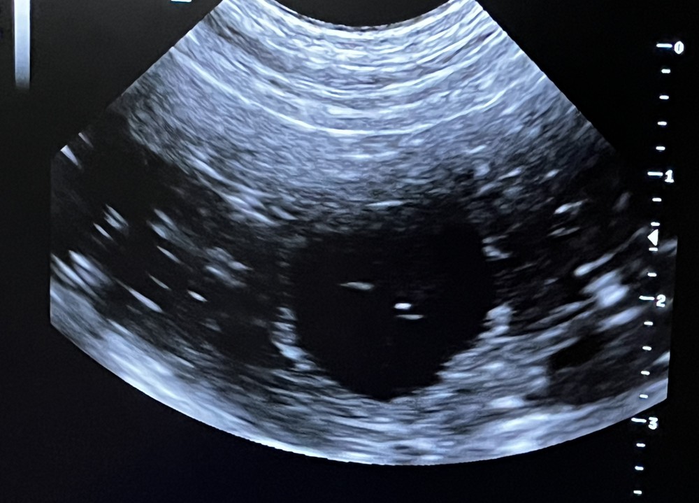
14.04.2026
Poppy ist tragend !!!
Schöne Bildchen hat der Ultraschall gestern hergegeben. Poppy ist jetzt an ihrem 24/25. Tag der Trächtigkeit und trägt schön gleichmäßig verteilt, kleine sich entwickelnde Früchtchen. Ihr selbst geht es gut, na ja, man muss halt mehr kuscheln und die Spaziergänge sind ruhiger angelegt.
Weitere Info´s folgen, das Frauchen muss jetzt erst einmal noch viele, viele Vorbereitungen treffen, damit in 5 Wochen hier alles bestens vorbereitet ist.
Es ist alles jedes Mal wieder auf´s Neue aufregend ;)))










